Stewart House Orthodontics
Stewart House Orthodontics

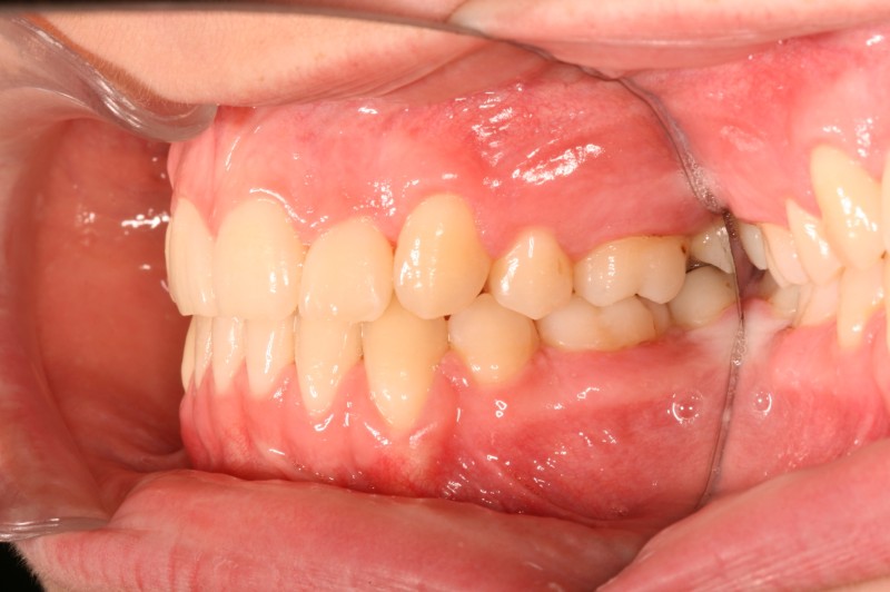
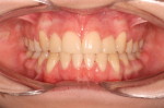
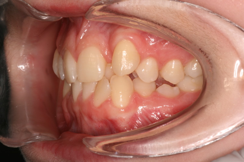
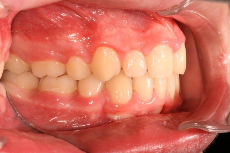
Patient Cases

See below for results from our former pleased orthodontic patients:

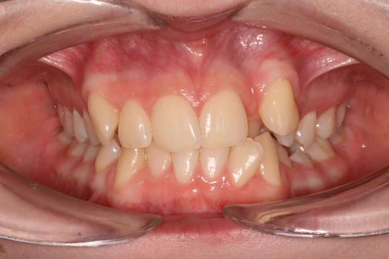
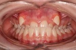
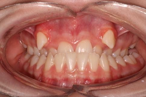
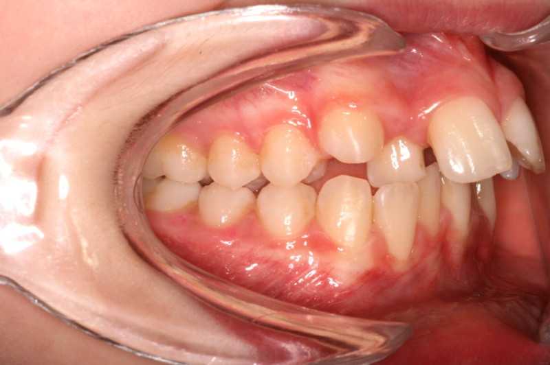
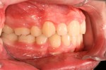
Patient Case 1

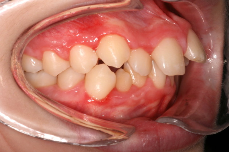
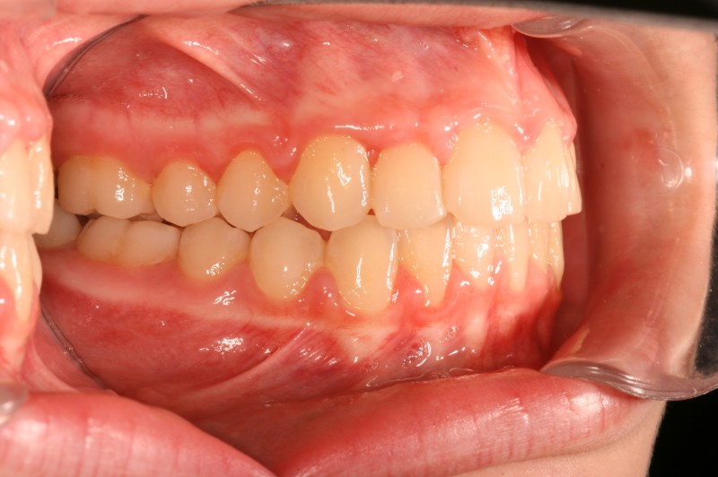
Patient Case 2

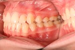
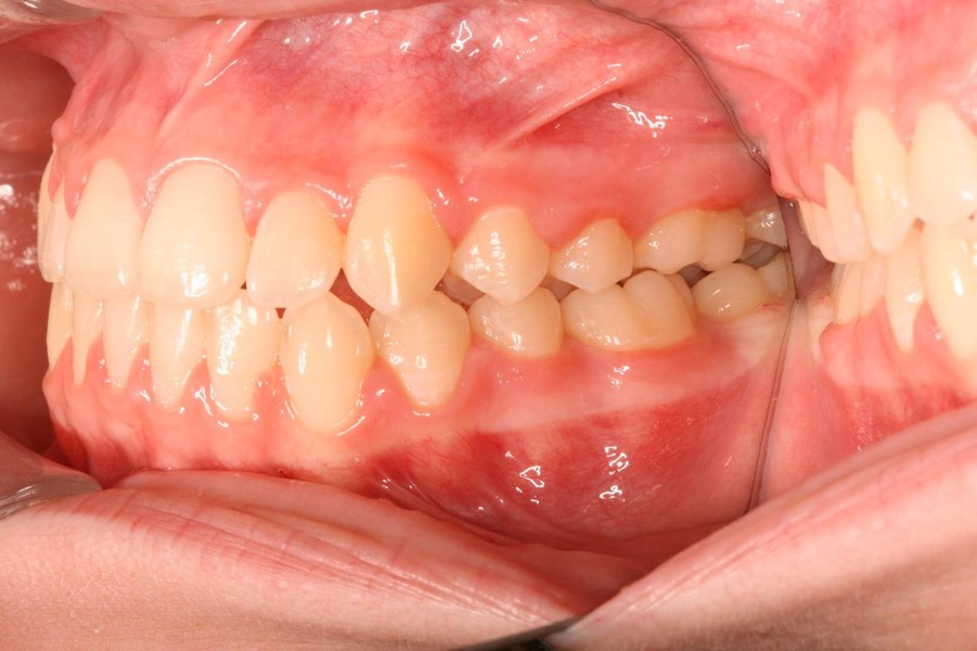
Patient Case 3

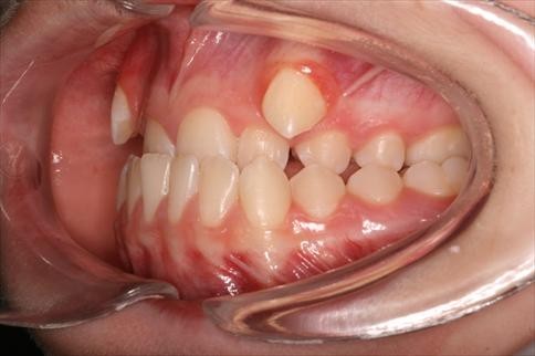
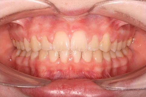
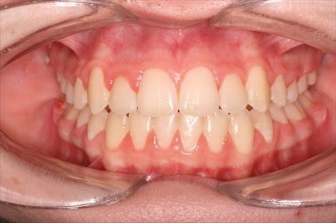
Patient Case 4

Patient Case 5

Making an appointment:

Telephone:

01284 768914

 

E-mail:

info@stewarthouse-orthodontics.co.uk

 

Address

Stewart House Orthodontics

Looms Lane 

Bury St Edmunds

IP33 1HE

  

Opening hours

Monday to Friday - 8:00-1:00 & 2:00-5:00

 

Saturday - By appointment only

Sunday - Closed

*Please note that we are closed daily from 1:00-2:00 for lunch.

 

If you have a problem outside of our opening hours, please ring Mr Barrett on 07808 961644. 

Print | Sitemap
© Stewart House Orthodontics 18th July 2025